Un cas rarissime de #synesthesie émotionnelle après un AVC
https://www.lemonde.fr/blog/realitesbiomedicales/2023/08/04/un-cas-rarissime-de-synesthesie-emotionnelle-apres-un-avc/
RT by @vmignerot: Percevoir le monde en sous-titres. Ces personnes possèdent une particularité vraiment étonnante : elles transcrivent, de façon automatique et involontaire, les paroles entendues sous forme de texte https://www.lemonde.fr/blog/realitesbiomedicales/2023/02/09/un-mode-exceptionnel-de-synesthesie-voir-le-monde-avec-des-sous-titres/ [Rediff] #synesthésie #cerveau #neurosciences #neurologie http://nitter.net/MarcGozlan/status/1625104395309391872#m
#synesthesie #cerveau #neurosciences #neurologie
Je reposte ça parce que ça me plaît vraiment ! Ça écrit dans la tête 🤔
https://www.lemonde.fr/blog/realitesbiomedicales/2023/02/09/un-mode-exceptionnel-de-synesthesie-voir-le-monde-avec-des-sous-titres/
#Synesthésie #Sous-Titres
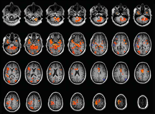
Un mode exceptionnel de synesthésie : voir le monde avec des sous-titres
#synesthesia #synesthesie #psycho #psychologie #psychology
Na een uitleg over een bijzondere vorm van neurologische #synesthesie een scherpe column van @Einsteinbarbie aan het einde van Nieuwe Feiten van 13 februari.
In je podcast app en https://www.vrt.be/vrtnu/podcasts/radio1/n/nieuwe-feiten/6/sommige-mensen-zien-ondertitels-wanneer-iemand-tegen-hen-praat/
Un mode exceptionnel de synesthésie : voir le monde avec des sous-titres – Réalités Biomédicales
https://www.lemonde.fr/blog/realitesbiomedicales/2023/02/09/un-mode-exceptionnel-de-synesthesie-voir-le-monde-avec-des-sous-titres/
#Synesthésie En voilà un drôle de phénomène ...
RT by @vmignerot: Quand on vous parle, voyez-vous les "sous-titres" ? L’Institut du Cerveau cherche à comprendre les mécanismes cérébraux du langage et de la lecture, par le biais de l’étude de personnes synesthètes. Contact : sous.titre.icm@gmail.com #synesthésie https://synestheorie.fr https://nitter.pussthecat.org/synestheorie/status/1622547955679993858#m
Quand on vous parle, voyez-vous les "sous-titres" ? L’Institut du Cerveau cherche à comprendre les mécanismes cérébraux du langage et de la lecture, par le biais de l’étude de personnes synesthètes. Contact : sous.titre.icm@gmail.com #synesthésie https://synestheorie.fr https://nitter.pussthecat.org/vmignerot/status/1617460441352912897#m
#Workshop écriture collective avec les étudiants de #Paris8 Transcription individuelle de 5 enregistrements de parole puis mise en commun sur un pad
#convivialiteespacesdiscrets #résidence #synesthesie
#workshop #paris8 #convivialiteespacesdiscrets #résidence #synesthesie