RT @MyASNC
📈Improve your knowledge of imaging with the Cardiac PET Curriculum.

💥8 topics w/ 26 modules addressing everything you need to start & run a PET lab
💥Over 25 expert faculty
💥Earn up to 18.25 CME credits

Order now👉bit.ly/423k746

#cardiacpet #CVnuc

Last updated 2 years ago

RT @MyASNC
For two days, April 10-11, @MyASNC members can register for the lowest rates for and the 2023 Course.

👉Save💰now! asnc.org/meetings
Public registration opens April 12.

#asnc2023 #ncboardprep #CVnuc

Last updated 3 years ago

RT @JNCjournal
: How does a CT derived risk score perform for predicting 90-day and 1-year major adverse cardiovascular events compared to ischemic burden and other cardiologic assessments from PET/CT?

Find out here 👉bit.ly/3mCCSLV
@MyASNC

#journalnc #thinkpet #CVnuc

Last updated 3 years ago

RT @MyASNC
Get excited! registration opens on April 12...

🌟...and don't forget, Abstract and Case Submissions are due on April 28.

Learn more today👉asnc.org/ASNC2023

#asnc2023 #CVnuc #cardiotwitter #cardiology

Last updated 3 years ago

RT @MyASNC
Special savings! ❤️📢
Save 10% on registration for the Virtual Workshops and the @MyASNC Hybrid Imaging Workshop!

Use PROMO CODE: HeartMonth10
👉bit.ly/3Y0Vt22
@CardioNerds

#heartmonth #cardiacpet #CVnuc #cardiotwitter

Last updated 3 years ago

RT @MyASNC
Be part of @MyASNC's 30th Birthday!🎉
Join us for a special virtual event tomorrow, January 31, at 6:00 PM (U.S. ET) as we celebrate ASNC's –
🔴AMAZING BACKSTORY
🟠THRIVING PRESENT, and
🟡EXCITING FUTURE

Sign up👉bit.ly/3XJFHIp
@almallahmo @mdicarli

#CVnuc

Last updated 3 years ago

RT @JNCjournal
: Learn about new predictors of LV mechanical dyssynchrony using deep learning models here👉bit.ly/3jPw8sD

Or🎧 here➡️bit.ly/3i4idPb
@MyASNC

#journalnc #ai #CVnuc

Last updated 3 years ago

RT @JNCjournal
: What's the value of F-18 FDG in the Dx of Unstable Angina? Find out in this real world clinical study of Chinese pts.👉bit.ly/3Gq5mQr

@MyASNC

#journalnc #thinkpet #CVnuc

Last updated 3 years ago

Point:
N=~12,000 in a 2-year period. Experienced PET readers in mature program (high degree of collaboration in ED and Interventional cards).

Score may help augment reader. Routinely incorporates ancillary data (mbf, cac, tid, IB, etc.).
---
RT @VietHeartPA
is a great stress imaging modality for identifying epicardial and microvascular ischemia, coronary calcium, and poor LV fxn. How well d…
twitter.com/VietHeartPA/status

#cardiacpet #CVnuc #patientfirst

Last updated 3 years ago

Brett Sperry, MD · @BrettSperryMD
11 followers · 2 posts · Server med-mastodon.com

Fixed this for you @MyASNC:

Grade 2 p̶o̶s̶i̶t̶i̶v̶e̶ ̶P̶Y̶P̶ ̶s̶c̶a̶n̶ ̶(̶A̶T̶T̶R̶ ̶a̶m̶y̶l̶o̶i̶d̶o̶s̶i̶s̶)̶

Can’t call it “positive” without SPECT

Can’t call it ATTR without negative testing for plasma cell disorder
---
RT @MyASNC
ANSWER FOR IMAGE 2⃣: Grade 2 positive PYP scan (ATTR amyloidosis)

✅Make sure to participate in Day 3 for attendees! twitter.com/MyASNC/status/1602
twitter.com/MyASNC/status/1603

#witi #imic2022 #CVnuc

Last updated 3 years ago

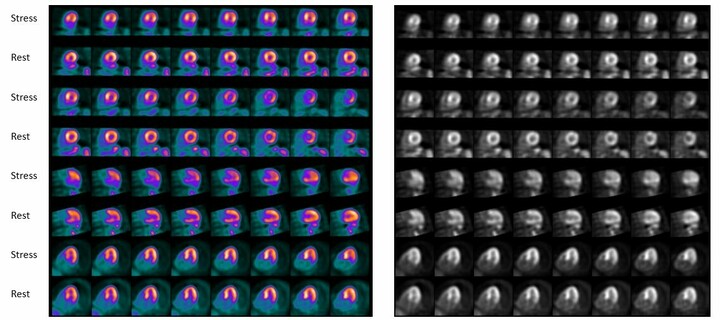
RT @MyASNC
63-year-old prior renal transplant pt undergoes preop PET study due to dyspnea and high calcium 1190. See images. What is the best next step? Vote below.

@JNCjournal @PETpartnership @CardioNerds

#CVnuc #cardiacpet

Last updated 3 years ago