StickyMiser · @stickymiser
14 followers · 12 posts · Server med-mastodon.com

StickyCoW -

This is for the crowd and rare. Post answer however you'd like if you know!
Ax t1 post arterial phase, ax t2, coronal t2, ax t2 fat sat

#colorectal #GI #bodyrad #RadRes #radiology #FOAMed

Last updated 3 years ago

StickyMiser · @stickymiser
14 followers · 12 posts · Server med-mastodon.com

StickyMiser Case of Week
Middle aged lady with worsening hyperbilirubinemia. Answer however you'd like!

#RadRes #GI #radiology #bodyrad

Last updated 3 years ago

StickyMiser · @stickymiser
14 followers · 12 posts · Server med-mastodon.com

StickyCoW
Old gentleman with urinary complaints.

#GU #radiology #RadRes #bodyrad

Last updated 3 years ago

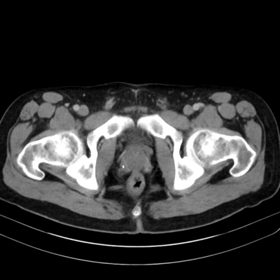
StickyMiser · @stickymiser
14 followers · 12 posts · Server med-mastodon.com

StickyMiser Case of Week
20-30M with recent infection and right pelvic pain. Post your answer!

#bodyrad #RadRes #radiology #FOAMed #genitourinary

Last updated 3 years ago

StickyMiser · @stickymiser
14 followers · 12 posts · Server med-mastodon.com

StickyMiser Case of Week
Hitting you with something new! FL esophagram on 20-30M with dysphagia and sensation of food stuck in throat.
Post your answer!

#bodyrad #radiology #RadRes #FOAMed #GI #Gastroenterology

Last updated 3 years ago