pathout · @pathout
88 followers · 97 posts · Server med-mastodon.com

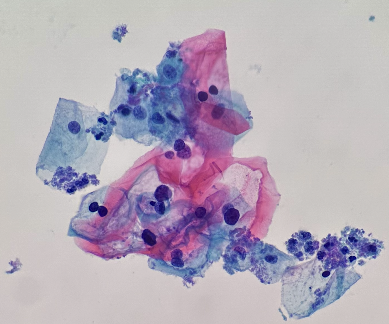
Our favorite Directory image of the week is from Mariana Cezar de Andrade Ribeiro, M.D.
Subspecialty: Cytopathology
Diagnosis: Papillary thyroid carcinoma - classic
See Dr. Cezar de Andrade Ribeiro's Directory profile: pathologyoutlines.com/director

#directory #image #microimage #Pathology #pathologyoutlines #cytopath #carcinoma #Thyroid #ImageOfTheWeek

Last updated 3 years ago

pathout · @pathout
88 followers · 88 posts · Server med-mastodon.com

Looking for 2025 fellowships?
Cedars Sinai is offering fellowships in the following subspecialties: Transfusion med, Cytopathology, GI/Liver, Gyn, Hematopathology, Molecular and Renal.
cedars-sinai.org/programs/path

#fellowship #cedarssinai #transfusionmedicine #cytopath #gyn #Pathology

Last updated 3 years ago

Casey P Schukow, DO · @bstspathpodcast
107 followers · 737 posts · Server med-mastodon.com

RT @sumeyra_md@twitter.com

Hello dear friends🌻
I miss hanging around here πŸ™ƒ
1) My new case β„οΈβ˜ƒοΈπŸ˜‡ 70-year-old female, peritoneal aspiration

@rehdam@twitter.com @NewjobiRakesh@twitter.com @padmapathology1@twitter.com @AnupamaArya12@twitter.com @nusrat_xahra@twitter.com

πŸ¦πŸ”—: twitter.com/sumeyra_md/status/

#PathTwitter #cytohistocorrelation #cytopath

Last updated 3 years ago

Kamran Mirza MD PhD :verified: · @kamran
189 followers · 714 posts · Server med-mastodon.com

Come train in this incredible cytopathology section with amazing faculty!

RT @LoyolaCytopath@twitter.com

πŸ“’πŸ“’Unexpected Opening!!πŸ“’πŸ“’

we have an unexpected opening in our Cytopathology fellowship 23-24.

Please reach out to Ms. Ela Stekala and/or PD Dr. GΓΌliz A. Barkan for more information.

πŸ¦πŸ”—: twitter.com/LoyolaCytopath/sta

#cytopath #PathTwitter

Last updated 3 years ago

Casey P Schukow, DO · @bstspathpodcast
104 followers · 636 posts · Server med-mastodon.com

RT @Baskotacytopath@twitter.com

@kiko4docs@twitter.com has been a great platform for sharing cases!
kikoxp.com/posts/10787
Check it out! twitter.com/kiko4docs/status/1

πŸ¦πŸ”—: twitter.com/Baskotacytopath/st

#Path2Path #PathTwitter #cytopath #matchtopath

Last updated 3 years ago

Bonnie Choy, MD · @bonnie_choy
41 followers · 11 posts · Server med-mastodon.com

Congrats again to @NU_Pathology@twitter.com /#GUpath dream team @AlcinoGama@twitter.com @IanGelardenMD@twitter.com on our @JASCJOURNAL@twitter.com publication!

RT @JASCJOURNAL@twitter.com

New Article Alert! Cytomorphology of renal angiomyolipoma: performance and accuracy of to... sciencedirect.com/science/arti @cytopathology@twitter.com

πŸ¦πŸ”—: twitter.com/JASCJOURNAL/status

#cytopath #purplepath #cytomorph #cytology

Last updated 3 years ago

Bonnie Choy, MD · @bonnie_choy
41 followers · 7 posts · Server med-mastodon.com

Congrats @NU_Pathology@twitter.com fellow @IanGelardenMD@twitter.com and resident @AlcinoGama@twitter.com! Check out our paper on cytomorphology of renal AML.
sciencedirect.com/science/arti

#cytopath #Pathology #purplepath

Last updated 3 years ago

Casey P Schukow, DO · @bstspathpodcast
101 followers · 560 posts · Server med-mastodon.com

RT @Gloria_SuraMD@twitter.com

Pleural fluid reveals large cannon-ball like clusters of cells. What is the diagnosis? Answer: kikoxp.com/posts/11782

πŸ¦πŸ”—: twitter.com/Gloria_SuraMD/stat

#PathTwitter #PathArt #medtwitter #cytopath #cytology

Last updated 3 years ago

Casey P Schukow, DO · @bstspathpodcast
93 followers · 441 posts · Server med-mastodon.com

RT @OhioStatePath@twitter.com

This turned out to be Melanoma!HMB-45 (L) and SOX-10 (R) were positive twitter.com/ohiostatepath/stat

πŸ¦πŸ”—: twitter.com/OhioStatePath/stat

#PathTwitter #cytopath

Last updated 3 years ago

Casey P Schukow, DO · @bstspathpodcast
92 followers · 433 posts · Server med-mastodon.com

RT @DrGeeONE@twitter.com

Elderly woman with long standing thyroid mass.
Just some "stretched out" and streaming benign cyst lining cells
At first, I was hovering between Benign vs. AUS 🀣😬
@pepeheffernan@twitter.com
@TotalCytopath@twitter.com @edusqo@twitter.com @VarshaManuchaMD@twitter.com @gildasantoscyto@twitter.com

πŸ¦πŸ”—: twitter.com/DrGeeONE/status/16

#fnafriday #cytopath #cytopathology

Last updated 3 years ago

Casey P Schukow, DO · @bstspathpodcast
92 followers · 433 posts · Server med-mastodon.com

RT @OhioStatePath@twitter.com

FNA from right eye mass. What is the most likely diagnosis?

πŸ¦πŸ”—: twitter.com/OhioStatePath/stat

#pathnewbies #Pathresidents #PathTwitter #cytopath

Last updated 3 years ago

Kamran Mirza MD PhD :verified: · @kamran
156 followers · 203 posts · Server med-mastodon.com

RT @edusqo@twitter.com

Clotted or soccer-ball-like chromatine in a small lymphocytic lymphoma.
in the was also performed.
Biopsy was unnecessary πŸ€“. Great Radiology-Pathology duet with Rapid On-Site Evaluation

πŸ¦πŸ”—: twitter.com/edusqo/status/1598

#ihcpath #cellblock #cytopath #hemepath #rose #patientsafety #fnafriday

Last updated 3 years ago

Sarah J. Wu, MD, PhD · @sarahjwu
96 followers · 27 posts · Server med-mastodon.com

Metastatic adenoid cystic carcinoma cytology. Interestingly, the matrix material maintains it's round shape on the smears.

#Pathology #cytopath #ENTpath

Last updated 3 years ago

Laura Malone, MD · @laura_pathology
12 followers · 3 posts · Server med-mastodon.com

Nice when the first field you see looks like this... Halos everywhere
LSIL

#cytopathology #cytopath

Last updated 3 years ago

RT @Sara_Jiang@twitter.com

ASC-US:SIL ratio and %HR HPV for ASC-US rates as indicators for performance from Dr. @VandaTorousMD@twitter.com at today's @VirtualPathGR@twitter.com on QI/QA - such a helpful diagram!
@RaulSGonzalezMD@twitter.com @EKhanafshar@twitter.com @KMirza@twitter.com @RodneyRohde@twitter.com @SaraEWobker@twitter.com @ASCP_Chicago@twitter.com

πŸ¦πŸ”—: twitter.com/Sara_Jiang/status/

#cytopath #VirtualPathGR

Last updated 3 years ago

Looking back on residency, I regret not doing more projects...

Hopefully I can do more in the future, but for now enjoy the re-release of my Cervical Cytology Series! πŸ‘©πŸΌβ€πŸŽ¨πŸ–ΌοΈ

Now available as printable "wallhangers":
➑️ buff.ly/3Tg2Pfo ⬅️

#PathArt #cytopath #gynpath

Last updated 3 years ago