It’s summer and that means disturbing swim advisories. Here’s our top 5 - Enlarge / A 2-year-old enjoys the spray of water in a splash pad in Los... - https://arstechnica.com/?p=1949894 #healthdepartment #clevelandclinic #e.colio157 #norovirus #shigella #science #giardia #health #crypto #safety #lakes #water #pool #cdc
#cdc #pool #water #lakes #safety #crypto #health #giardia #science #shigella #norovirus #e #clevelandclinic #healthdepartment
Ars Technica: It’s summer and that means disturbing swim advisories. Here’s our top 5 https://arstechnica.com/?p=1949894 #Tech #arstechnica #IT #Technology #healthdepartment #clevelandclinic #E.coliO157 #Norovirus #shigella #Science #Giardia #Health #crypto #safety #lakes #water #pool #CDC
#Tech #arstechnica #it #technology #healthdepartment #clevelandclinic #e #Norovirus #shigella #science #giardia #health #Crypto #safety #lakes #water #pool #cdc
#Giardia is a germ that causes diarrhea & is commonly spread through unsafe water. If you are unsure if your drinking water is safe, you can:
☑️ Boil it for 1 min & allow to cool before drinking
☑️ Drink bottled water
☑️ Use a certified water filter
More: https://bit.ly/3J8tKGA
People in #OldTestament #Jerusalem suffered from widespread #dysentery, study finds
https://arstechnica.com/science/2023/05/soil-samples-from-iron-age-toilets-show-dysentery-was-widespread-in-jerusalem/
Study results indicate "long-term presence" of #Giardia parasite in Near East populations.
#oldtestament #jerusalem #dysentery #giardia
People in 7th Century BCE #Jerusalem suffered from widespread dysentery, study finds
Study results indicate "long-term presence" of #Giardia parasite in Near East populations.
https://arstechnica.com/science/2023/05/soil-samples-from-iron-age-toilets-show-dysentery-was-widespread-in-jerusalem/
#histodons #history #geschichte #histoire #Archäologie #archaeodons #archaeology #Altertumswissenschaften #AncientHistory #antiquity #antike #MiddleEast #medhist
#jerusalem #giardia #histodons #history #geschichte #histoire #archaologie #archaeodons #archaeology #altertumswissenschaften #ancienthistory #antiquity #Antike #MiddleEast #medhist
Scientists reveal #protein #synthesis mechanism in #Giardia.
https://phys.org/news/2023-03-scientists-reveal-protein-synthesis-mechanism.html
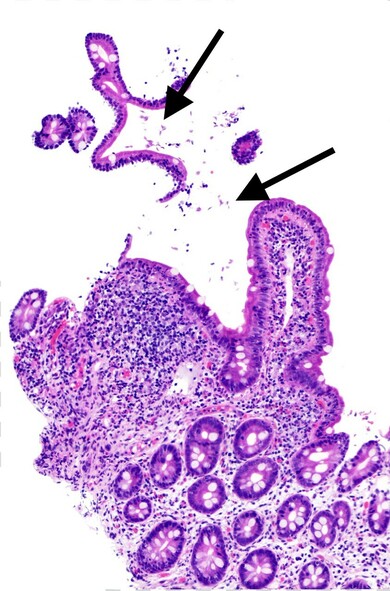
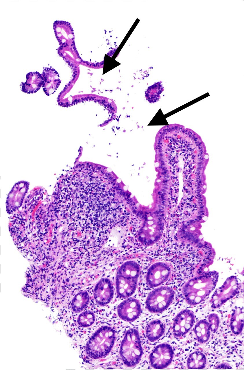
Here’s a case of duodenal #Giardiasis (causative organism Giardia lamblia) at 200x magnification. The #Giardia organisms are somewhat tear-drop shaped and resemble falling leaves, overlying the surface of the duodenum (the first segment of small bowel after the stomach). The duodenal mucosa is inflamed.
#pathology #pathart #bstpath #pathmastodon #GIpathology #InfectiousDisease
#pathology #pathart #bstpath #pathmastodon #gipathology #infectiousdisease #giardiasis #giardia