Casey P Schukow, DO · @bstspathpodcast
101 followers · 560 posts · Server med-mastodon.com

RT @ariella8@twitter.com


Another great educational thread by the great educator @TristanRutland7@twitter.com
Keep it handy ↘️↘️ twitter.com/TristanRutland7/st

🐦🔗: twitter.com/ariella8/status/16

#bstpath #gynpath #ihcpath

Last updated 3 years ago

Kamran Mirza MD PhD :verified: · @kamran
156 followers · 203 posts · Server med-mastodon.com

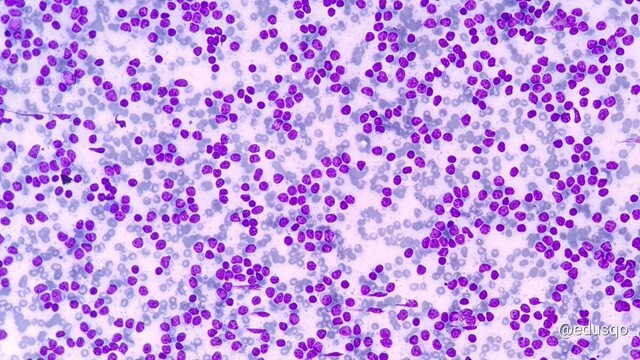
RT @edusqo@twitter.com

Clotted or soccer-ball-like chromatine in a small lymphocytic lymphoma.
in the was also performed.
Biopsy was unnecessary 🤓. Great Radiology-Pathology duet with Rapid On-Site Evaluation

🐦🔗: twitter.com/edusqo/status/1598

#ihcpath #cellblock #cytopath #hemepath #rose #patientsafety #fnafriday

Last updated 3 years ago