Casey P Schukow, DO · @bstspathpodcast
104 followers · 627 posts · Server med-mastodon.com

RT @sanamloghavi@twitter.com

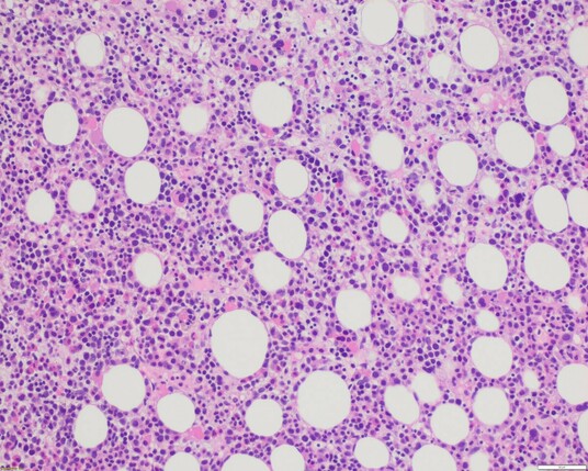
Final 🧠 teaser of 2022… I’d love to hear experts ops. How would U classify?
Older lady w/ thrombocytopenia (47K) neutropenia (1.3K), normal Hgb
BM:Meg +erythroid dysplasia,15% ring sideroblasts (iron stain πŸ‘‡πŸ»).
NGS shows an SF3B1 K700E with 4% VAF.

πŸ¦πŸ”—: twitter.com/sanamloghavi/statu

#hemepath #mdssm

Last updated 3 years ago

Kamran Mirza MD PhD :verified: · @kamran
184 followers · 669 posts · Server med-mastodon.com

RT @sanamloghavi@twitter.com

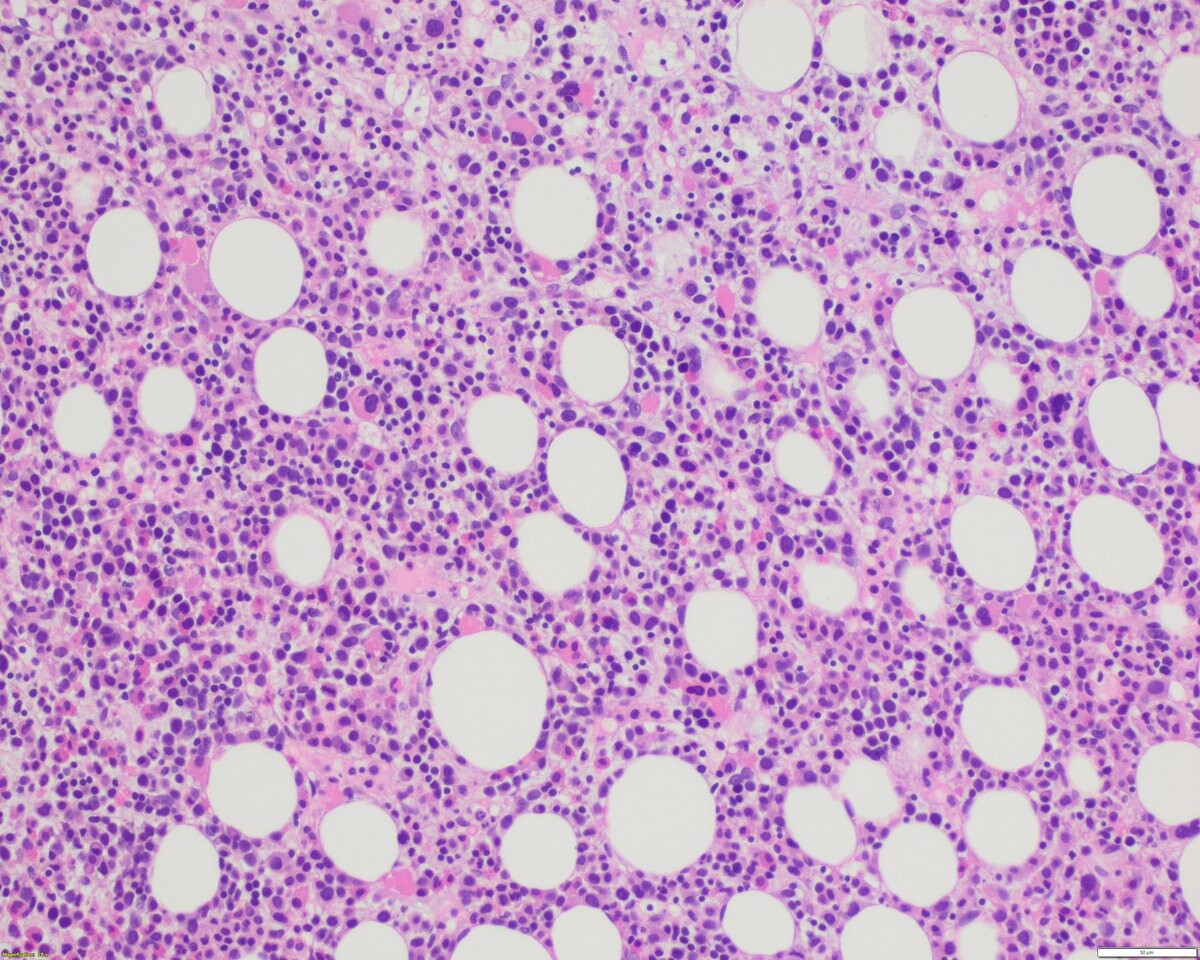
I Β love cases that make me think.. Never a dull day at
Tune in: a case for your learning pleasure.. Enjoy!
This is the bone marrow of an elderly woman (>65 yr) with marked pancytopenia and progressive transfusion dependency. 🧡 1/

πŸ¦πŸ”—: twitter.com/sanamloghavi/statu

#hemepathmda #hemepath #mdssm

Last updated 3 years ago

Kamran Mirza MD PhD :verified: · @kamran
170 followers · 574 posts · Server med-mastodon.com

RT @CyclingDoctor@twitter.com

Today @ 3:30
Tracking the Evolution of Therapy-Related Myeloid Neoplasms Using Chemotherapy Signatures


@KellyLBolton@twitter.com

ash.confex.com/ash/2022/webpro

πŸ¦πŸ”—: twitter.com/CyclingDoctor/stat

#ash22 #mmsm #leusm #mdssm

Last updated 3 years ago

Kamran Mirza MD PhD :verified: · @kamran
168 followers · 549 posts · Server med-mastodon.com

RT @SamUrrutia_@twitter.com

At ? Can't decide what poster to see? Come visit at #3090 and learn about spliceosome mutations in Get the poster below!

πŸ¦πŸ”—: twitter.com/SamUrrutia_/status

#ash22 #mdssm

Last updated 3 years ago

Kamran Mirza MD PhD :verified: · @kamran
166 followers · 423 posts · Server med-mastodon.com

RT @Dr_AmerZeidan@twitter.com

With legend/giant & a true hero of mine with countless contributions to field at Dr John Bennett who continues to be active in academia & looks younger than ever. Dr Bennett was one of FAB classification founders & worked on defining before I was even born twitter.com/i/web/status/16016

πŸ¦πŸ”—: twitter.com/Dr_AmerZeidan/stat

#mdssm #ash22

Last updated 3 years ago

Kamran Mirza MD PhD :verified: · @kamran
159 followers · 389 posts · Server med-mastodon.com

RT @drsomedeb@twitter.com

If you treat & want to learn about classes/ subgroups that matter most in and 2022, stop by our presentation on analysis of @MoffittNews@twitter.com database Sunday AM Excited to represent @MDS_IC@twitter.com @ASH_hematology@twitter.com @Ramikomrokji@twitter.com @Dr_AmerZeidan@twitter.com @sanamloghavi@twitter.com @ZhuoerXie@twitter.com

πŸ¦πŸ”—: twitter.com/drsomedeb/status/1

#mdssm #who #icc #ash22

Last updated 3 years ago

Kamran Mirza MD PhD :verified: · @kamran
159 followers · 389 posts · Server med-mastodon.com

RT @Anand_88_Patel@twitter.com

Today's Educational Session focus is the MDS session led by @beatalleukemia@twitter.com!

- Risk stratification by Dr. Cazzola
- inflammation in lower-risk MDS @Amitvermamds@twitter.com
- new combination therapies @beatalleukemia@twitter.com

annualmeeting.hematology.org/l

πŸ¦πŸ”—: twitter.com/Anand_88_Patel/sta

#ash22 #mdssm

Last updated 3 years ago

Kamran Mirza MD PhD :verified: · @kamran
156 followers · 310 posts · Server med-mastodon.com

RT @sanamloghavi@twitter.com

en route with and royalty πŸ‘‘β€¦.we all ended up in the same row by chance ✈️
Houston➑️ NOLA twitter.com/ash_hematology/sta

πŸ¦πŸ”—: twitter.com/sanamloghavi/statu

#mdssm #mpnsm #ash22

Last updated 3 years ago

Kamran Mirza MD PhD :verified: · @kamran
151 followers · 139 posts · Server med-mastodon.com

RT @sanamloghavi@twitter.com

Congrats to @SibaElHussein@twitter.com for her review on implications of clonal hierarchy on MDS phenotype just out in @Cancers_MDPI@twitter.com We hope you can find some time this holiday season to read it. mdpi.com/2072-6694/14/22/5690

πŸ¦πŸ”—: twitter.com/sanamloghavi/statu

#mdssm #leusm #hemepath

Last updated 3 years ago